作者:罗冬梅
我们把心脏比作一套会活动的房子,心脏彩超主要负责检查这套房子的墙壁、房门、水管、电路等结构和功能的问题。

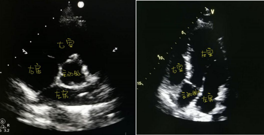
1、墙:在心脏的这套房子里,拥有四间房子,形成了一个两层小楼房,上层为“心房”,下层为“心室”。左侧两间就是左心,右侧的两间是右心。正常情况下,左右两侧的房间是不相通的,有墙体(间隔)隔开。心脏彩超就是主要看看房间的大小、墙体厚度、墙体的完整性。

2、门:心脏彩超还要负责检查心脏的四个“阀门”情况,这“阀门”就是心脏的瓣膜,包括主动脉瓣、肺动脉瓣、二尖瓣、三尖瓣。检查瓣膜的打开和关闭是否顺利,有没有出现打不开和(或)关不紧的情况,如果这门开不大,出入空间就会变小,这就叫“瓣膜狭窄”;门关不严,叫“瓣膜关闭不全”,如果这门掉下来了这就叫 瓣膜脱垂。


3、水管:输水管道铺设在墙壁表面,叫冠脉,里面流的是血液,为心肌的生命粮道。如果水管梗塞不通,供应的心肌墙可能会因缺血而坏死,运动减弱,称“冠心病”。

4、电路。铺设在心脏墙壁里的输电线路,叫“心脏传导系统”。电路放电一次,心脏就跳动一次,没有放电,就没有心跳。若是电路出了问题,心跳节律就会发生异常,称为“心律失常”。
