【临床资料】
患者,女,42岁,孕12周。
【声像图表现】
宫腔内可见一胎儿回声,颅骨光环可显示。
双顶径:17mm,头臀长:50mm, 胎动胎心好,胎心率:158次/分,
羊水最深值:33mm,胎盘附着于子宫前壁,厚:12mm, NT:5.4mm.
宫颈内口:闭合
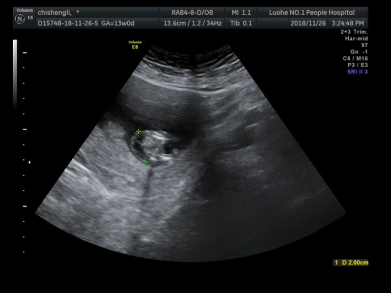
胎儿颈背部可见一20mmx6.7mm的囊性回声,内可见多条线样高回声分隔,呈多房状改变,CDFI:其内未见明显血流信号。
四腔心切面隐约可见,室间隔上部回声缺失约1mm,静脉导管频谱未见明显异常。
【超声提示】
宫内早孕,单活胎(超声孕周约12 w+ 1d)
胎儿NT增厚并颈背部囊性回声(考虑)
胎儿心脏结构显示欠清,结构异常待排
【超声图像】


【讨论】
经随访追踪该患者引产后确诊为淋巴水囊瘤。胎儿水囊状淋巴管瘤又称胎儿淋巴水囊瘤。淋巴水囊瘤是一种淋巴系统的发育异常,表现为厚壁囊肿,内部常有多个分隔带,多位于头、颈的背侧(约占80%),也可以出现在颈部前方、两侧及腋下。
胎儿淋巴系统从孕10周开始发育,孕14周发育完全,全身淋巴回流至颈部的胸导管和右淋巴导管,再回流到静脉系统。因此,各种原因引起的胎儿静脉压升高、淋巴回流障碍均可引起胎儿颈部直至全身的水囊样改变。
最常见原因是颈部淋巴管与颈内静脉未能正常连接,从而导致颈部淋巴回流障碍,引起淋巴管极度囊状扩张,常合并皮肤水肿和浆膜腔水肿。
超声将水囊瘤分为有分隔和无分隔水囊瘤两种。1.无分隔水囊瘤主要表现为单房囊性包块,多位于颈前部两侧,体积多较小,易漏诊。2.有分隔水囊瘤此种类型水囊瘤典型超声表现为多房性肿块。内有明显的分隔光带,有时仅可见中央单一分隔光带将囊分为左、右两半。囊肿一般较大,最多见于颈背部,偶可见于颈前部、腋窝及纵膈内。
有分隔水囊瘤常合并染色体畸形、心血管畸形及胎儿水肿。最常见的染色体畸形为Turner综合征,其次为18-三体及21-三体,其余15%的水囊瘤胎儿染色体则正常。伴发的心血管畸形主要为主动脉缩窄。伴发胎儿水肿时,可在68%以上的Turner综合征中出现,有水囊瘤的染色体正常胎儿82%会发生水肿。有分隔水囊瘤伴有胎儿水肿者,预后极差,其总的病死率高达80%-90%,单纯水囊瘤不伴其他异常、且染色体核型正常者,预后较好。如果水囊瘤发生时间较晚,在孕晚期才表现出来,则预后较好。
这个病例让我们对淋巴水囊瘤有了进一步的认识,以后的工作过程中再发现类似的病例一定要细心检查,认真诊断。