【临床资料】
患者女性,27岁,以“腹痛腹胀呕吐一天”为主诉急诊入院行阴道超声检查,自述月经淋漓不尽半月余。
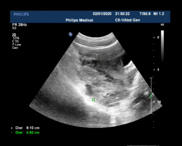
【超声表现】 经阴道超声探查子宫大小形态正常,内回声均匀,内膜厚约9mm,居中,宫内未见明显异常回声。双侧卵巢显示可,右侧卵巢内见一16mmx15mm低回声,CDFI:周边见半环状血流信号;左侧卵巢旁见深约23mm的无回声区。子宫后方见一较大包块回声,边界探查不清。经腹部联合探查,子宫后方见范围约99mmx49mmx91mm的混和包块回声,其内偏左侧见一16mmx15mm的无回声区,壁厚,周边回声增强,其旁见深约32mm的无回声区。肝肾间隙见深约25mm的无回声区,脾肾间隙见深约23mm的无回声区。
【超声图像】


【讨论】
育龄期的女性异常阴道出血也可被误认为为月经,该患者同时存在右侧卵巢黄体的情况,所以宫外孕的可能性较大。
在异位妊娠中,输卵管妊娠占90%-95%,是最常见的异位妊娠,故异位妊娠又习惯称为宫外孕。输卵管妊娠指受精卵在输卵管的某一部位种植并发育。正常情况下在输卵管受阻,受精卵在输卵管着床,形成输卵管妊娠,其发生在壶腹部最多。可发生输卵管妊娠流产,破裂,继发性腹腔妊娠,陈旧性宫外孕及持续性异位妊娠。
超声主要协助了解宫腔有无孕囊,附件区有无包块,及相当于输卵管部位有无胎心搏动,腹腔有无积液。在宫外孕的非手术治疗中超声能实时监测包块的大小、血供情况等,并为临床提供客观评价。
工作中常见的宫外孕超声表现主要为:1、子宫表现为轻度增大,个别病人子宫无增大。子宫内膜厚度在8-14mm,表现多样,如网状、囊状、不规则状。2、盆腔及直肠凹积液;直肠凹是盆腔内最低位置,出血或有深出液均出现在此处。严重者肝肾隐窝或脾肾隐窝有液性暗区。这是输卵管流产或破裂的证据,单并非特异。出血多时,暗区可波及腹腔,在腹部显示液性暗区,其间有肠管漂浮,而此时病情已十分我危急。3、 附件包块,根据发病时间的长短、出血的多少、发生部位不同,附件包块有不同表现。通常分为4型。孕囊型:附件区可探及较长或椭圆形的低回声区,回声均匀或欠均匀,边缘清楚,其内有完整孕囊,彩色多普勒显示在异位孕囊的一侧外侧壁周边可见半环形血流束,阻力指数较低,为滋养层周围血流;流产型:因孕囊部分或全部剥离,孕卵的血液从输卵管伞端流出,子宫直肠陷凹血液聚焦。声像图表现为子宫旁及宫底混和性回声光团,其中以液性暗区为主。破裂型:因输卵管破裂胚胎从破口处流出,伴有大量内出血。声像图可表现为有混和性光团伴盆腹腔游离液性暗区,孕囊显示不清。陈旧性:因胚胎机化,与周围组织粘连,形成包块。声像图表现为盆腔内清晰或模糊、内部回声增强的混和性光团,其间可见散在的液性暗区。
停经、腹痛、阴道出血、附件包块是诊断宫外孕的典型症状和体征。对可疑者应及时查血hCG以提供更多诊断依据。附件区见孕囊,尤其是卵巢边缘清晰可见时,超声可做输卵管妊娠诊断。附件区衰减或混合型包块,结合临床停经、腹痛、阴道出血可高度提示输卵管妊娠,盆腹腔的积液更能支持宫外孕的诊断。临床怀疑异位妊娠,超声检查经腹部及经阴道均未发现宫内妊娠征象也未发现异常肿块,应短期密切随诊。