作者:胡豪杰
在孩子6-12岁时,家长往往会发现孩子牙齿不整齐,牙齿长“歪”,那么这些长歪的牙齿是否需要治疗呢个?我们需要分两种情况来看。
暂时性错合
人类一生中有两副牙齿,乳牙和恒牙,6岁开始孩子乳牙逐步脱落恒牙萌出。在6-12岁时,孩子常被称为“丑小鸭”阶段,家长会发现孩子牙齿不好看,随着孩子的生长发育,牙齿可以自行调整到正常,蜕变为“白天鹅”。这些暂时性的不整齐,不需要治疗,只需要观察就可以。具体有以下几种情况
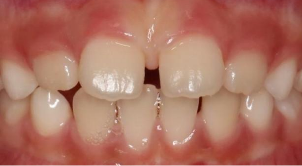
1、暂时性中切牙间隙。初萌的上颌中切牙之间往往有间隙,随着侧切牙萌出,间隙会自行消失。如果间隙大于3mm,应警惕是否有多生牙存在。

2、初萌侧切牙牙冠偏远中。初萌的侧切牙牙冠向远中偏斜,可能是尖牙牙胚挤压牙根导致,随着尖牙萌出,颌骨发育,可自行调整正常,无需处理。
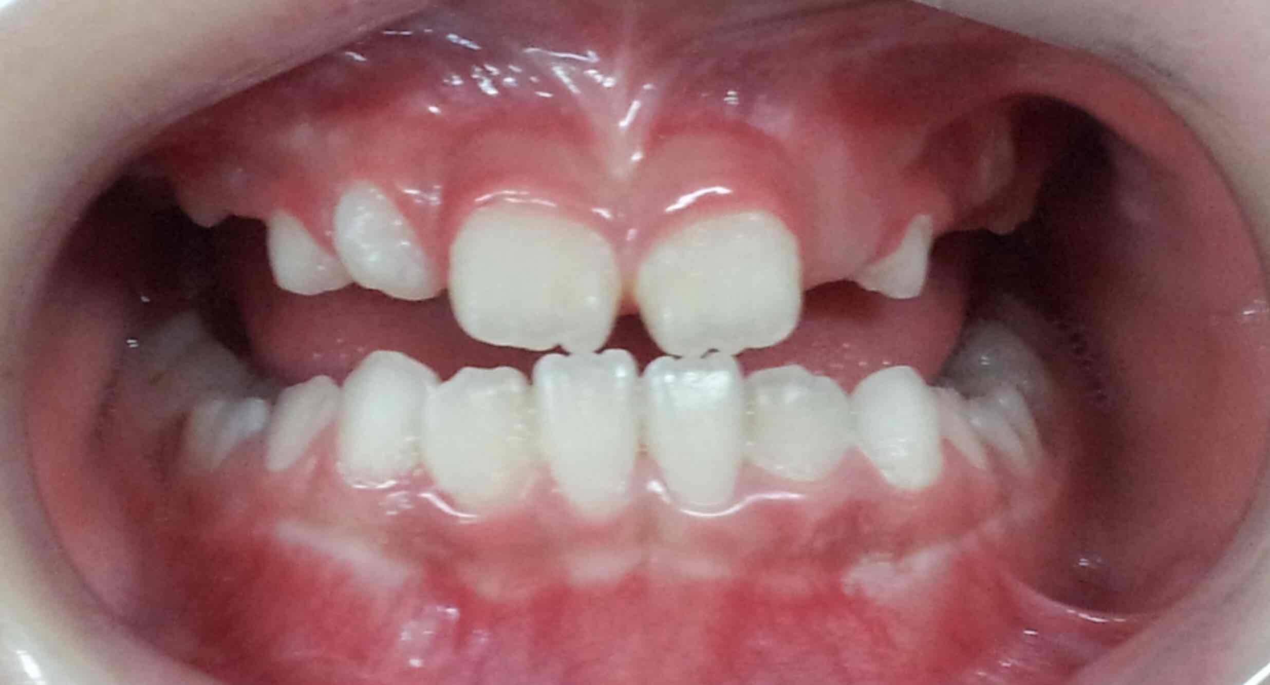
3、暂时性前牙拥挤。恒中切牙一般比乳中切牙大,当乳牙脱落恒中切牙
萌出时,会出现轻度拥挤。后期恒前磨牙比对应的乳磨牙小,替换后有间隙用于调整,而且随着颌骨的发育,轻度的暂时性的前牙拥挤,可以自行调整到正常。无需处理。

4、上唇系带位置过低
上唇系带乳牙期位于两乳牙之间,随着颌骨发育,牙根生长,可逐渐退缩到正常位置,无需处理。如果上唇系带附着在恒牙牙槽嵴顶,伴随中切牙间隙大于3mm,建议做唇系带修整术。

5、暂时性远中合。第一恒磨牙刚萌出时,可能是“尖对尖”关系,乳磨牙脱落后,下颌第一磨牙近中移动距离大于上颌第一磨牙近中移动距离,调整为正常关系。

6、暂时性深覆合。乳前牙有时会存在深覆合情况,随着恒牙萌出,颌骨生长,牙槽骨垂直高度增加,逐渐调整正常。

除暂时性错合之外的其它情形,尤其是孩子有口呼吸、吐舌等不良习惯从而导致牙齿不齐,建议及时干预。如果家长难以判断是否为暂时性错合,可带孩子及时找专业医生咨询,选择合适的措施。