作者:门诊口腔科 刘晓珂
妊娠期龈炎发生于怀孕的妇女,由于妊娠期性激素水平的改变,使原有的慢性龈炎加重和改变的特性,发生率在30%-100%,口腔卫生良好者发生率较低。

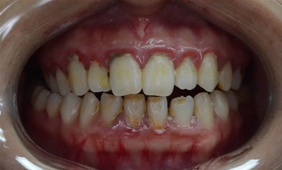
一.常见症状
1.牙龈红肿,易出血,可发生于个别牙或全口牙龈,前牙区较重;
2.个别患者出现妊娠瘤,发生于单个龈乳头,可有蒂或无蒂,一般不痛,易出血,严重者妨碍进食

预防和处理

1.怀孕前进行口腔检查,去除局部刺激因素如牙石、菌斑、不良修复体等。
2.孕期保持良好的口腔卫生习惯,认真刷牙和使用牙线等清洁工具,控制菌斑。
3.若出现妊娠期龈炎,及时就诊,进行口腔专科处理
4.妊娠期龈瘤可选择在妊娠第4-6个月之间进行手术切除