患者,女,14岁
一 、主诉
牙列不齐求治。
二、既往史
否认糖尿病、脑血管疾病病史,否认高血压、心脏病病史,否认肝炎、结核、疟疾病史,预防接种随当地进行,否认手术、外伤、输血、献血史,否认药物、食物过敏史。无新冠疫情中高风险地区旅居史,无新冠肺炎患者密切接触史。
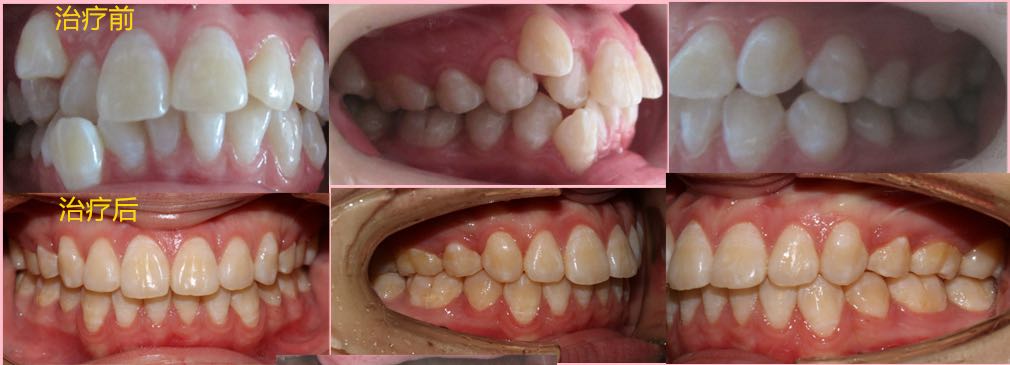
三、临床检查
患者神清气平,对答切题,生命体征平稳。面部基本对称,皮肤无红肿。口腔卫生良好,开口度及开口型正常,关节无弹响。双侧磨牙轻远中关系,右侧上颌尖牙位于牙弓之外,上颌重度拥挤,下颌中度拥挤,前牙深覆合I°,深覆盖II°,下颌中线居中与面中线一致,上颌中线右偏,面部左右不对称,右侧丰满,左侧欠丰满,上颌发育正常,下颌稍后缩,偏高角。
四、治疗方案
1、向患者及其家属解释病情,告知诊疗计划,确定诊疗方案,预后及相关费用,患者及其家属表示知情同意并配合治疗。
2、直丝弓拔牙矫治,拔牙部位为:14,24,34,44,上下颌中度支抗,排齐整平牙列,关闭拔牙间隙,调整中线及咬合关系。
3、遵医嘱,不适随诊。





