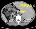
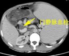
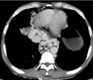
患者朱XX,男,49岁,因“上腹部胀痛2天”2015年入院,查体:脾脏肋下15cm。入院时血液学检查:白细胞明显降低仅为0.8X109/L,血小板明显降低仅为 23X109/L。入院时彩超:脾大Ⅲ度,门静脉、脾静脉内异常回声(考虑血栓形成),腹腔积液。
胃镜:食管胃底静脉,曲张重度,红色佂阳性,胃底静脉曲张,门脉高压性胃病。


入院CT



临床诊断:肝硬化、门静脉高压 门静脉、脾静脉血栓 脾功能亢进 食管、胃底静脉曲张(重度)门脉高压性胃病
手术方案:选择性贲门周围血管离断术+巨脾切除术+门静脉溶栓导管植入术
术中图像

术后治疗方案:术后立即开始门静脉溶栓导管内滴入低分子右旋糖酐 术后白细胞及血小板迅速上升至正常,血小板大于300*109/L开始氯吡格雷抗血小板治疗 术后予以门静脉导管内尿激酶溶栓治疗。
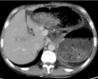
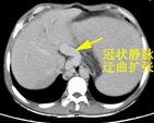
术后1月CT




血栓陈旧无法完全溶解,但因选择性贲周血管离断术保留了冠状静脉,门静脉血流可以通过食管下端交通支返流,无腹水等并发症发生。
随访:术后12月,患者饮食良好,无腹痛腹胀,无腹水等并发症出现。