患者赵XX,女,54岁,因“发现白细胞及血小板低1年”2014年入院。
入院检查
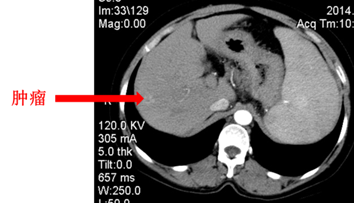
CT:符合肝硬化并脾大改变,肝右叶占位,胃底静脉及脾静脉曲张。
胃镜:食管静脉曲张(重度,红色症阳性),胃底静脉曲张,门脉高压性胃病。

临床诊断:右肝占位性病变肝硬化、门静脉高压、脾大脾功能亢进食管胃底静脉曲张
手术方案:选择性贲门周围血管离断术+脾切除术+右肝后叶占位活检+术中微波消融术
术中穿刺病理提示:(肝右叶)肝细胞癌
消融后(术后1月)CT图像:


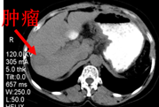
术后CT(9月)图像:


2015-10-26行CT定位下左肝占位碘125放射粒子植入术。
粒子植入术后2月CT:

