漯河市中心医院 薛仪强
今年65岁的杜大爷最近1年反复遭遇烦“心”事。
1年余前杜大爷反复“烧心”,于当地某医院行冠状动脉造影术+PCI术,症状好转后出院。
6月前杜大爷再次出现“烧心”,于当地医院行心电图和复查冠脉造影未见明显异常。5月前、4月前和3月前杜大爷反复“烧心”,辗转于当地医院和省级医院,原因未明,治疗效果不佳。
2月前杜大爷再次出现“烧心”就诊于漯河市中心医院消化科门诊,消化科黄德峰主任医师经过仔细的查体和诊断,考虑“冠脉综合征”可能,遂护送患者至漯河市中心医院心内科门诊行心电图示:III度房室传导阻滞,心率:35次/分。结合患者症状和发病时心电图,心内科二线陆振涛主任医师立即启动导管室,至心内科导管室行冠状动脉造影术,结果如下:
LM未见异常,前向血流TIMI-3级;LAD主支近段90%左右节段性狭窄,前向血流TIMI-3级;LAD中段70%左右节段性狭窄,前向血流TIMI-3级;LCX主支近段85%左右节段性狭窄,前向血流TIMI-3级;远段可见支架影,支架内血流通畅,前向血流TIMI-3级。(图1)

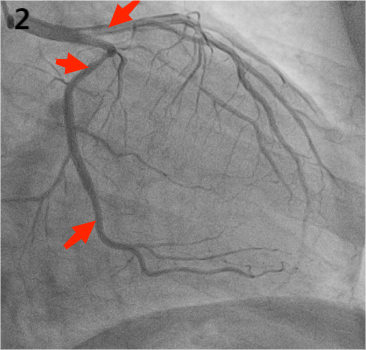
考虑血管存在痉挛,予以“硝酸异山梨酯注射2ml”冠脉内注入,复查造影示:LAD主支近段20%节段性狭窄,前向血流TIMI-3级;LAD中段70%左右节段性狭窄,前向血流TIMI-3级;LCX主支近段40%左右节段性狭窄,前向血流TIMI-3级。(图2)
困扰杜大爷1年之久的罪魁祸首终于找到了,“冠脉痉挛”!经过心内科医生的精心调药后出院,近2个月随访,杜大爷未再出现不适。
什么是冠脉痉挛呢”?

各种原因所致的走行于心脏表面的冠状动脉和/或心肌内的冠脉微血管一过性异常收缩,引起血管不完全性或完全性闭塞,从而引起的心肌缺血综合征,心电图表现为相应导联的ST段抬高或压低,临床上出现缺血性胸痛症状。冠脉痉挛是一种病理生理状态,因发生痉挛的部位、严重程度以及有无侧支循环等差异而表现为不同的临床类型。包括:典型变异型心绞痛、非典型变异型心绞痛、急性心肌梗死、猝死、各类心律失常、心力衰竭和无症状性心肌缺血等。
冠脉痉挛的诱因有哪些呢?
生理因素:包括精神刺激、劳累、寒冷、通气过度以及镁缺乏等;药理因素:有烟酒、β 受体阻滞剂、组胺、儿茶酚胺、抗胆碱酯酶剂、拟副交感神经药、可卡因以及长时间应用硝酸甘油突然撤药者。
冠脉痉挛的评估方法有哪些呢?
冠状动脉痉挛的治疗有哪些呢?
临床实践中,尤其对于冠脉病变较轻的患者,应重视冠脉痉挛的识别和干预。不要忽视那些严重心脏事件中有可能存在的冠脉痉挛因素,不要对某些反复发作症状、冠脉病变轻微的患者掉以轻心,必须予以积极、足够的的干预。这是因为大多数冠脉痉挛患者对药物治疗的效果很好,多数经过规范处理预后也良好。坚持长期规范的治疗不但可以改善症状,而且能够明显改善患者的预后。